
A meditation on the effects of putting off doctors' orders.

A meditation on the effects of putting off doctors' orders.

An increase in screen time has led to a rise in binocular vision disorders.

Look out for at-risk patients and prepare to establish treatment protocols.

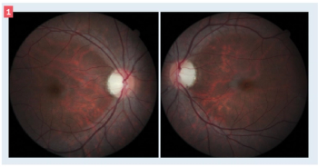
Multiple sclerosis is a neurodegenerative disease with ophthalmic manifestations. Although some cases come to attention following an attack of optic neuritis, embedded optic atrophy can be observed in other, longer-standing cases.

When combined, intense pulsed light and low-level light therapy—both of which have roots in dermatology—create a synergistic effect that treat dry eye more effectively than one therapy alone.

Panel discusses the highs and lows of treating patients with this condition.

Your employees are your greatest allies; building a team the right way from the very beginning is the foundation of your success.

Considering safety and efficacy of new drops and the potential impact on your patients.

Consider 2 approaches when fitting patients.